
德國醫院實現醫學突破獲得嬰兒降生時的圖片

一個醫生在查看核磁共振成像圖片
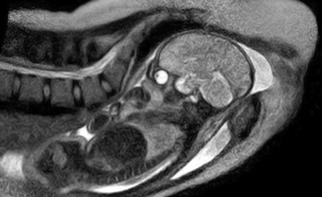
據英國《每日郵報》12月7日報道,德國柏林沙里特醫院近日實現了一項醫學突破,他們利用核磁共振掃描在全球首次獲得嬰兒降生過程的圖像。
這些圖像是在一個德國孕婦同意在核磁共振掃描儀里分娩后拍攝到的,它能夠為分娩過程提供一些有價值的新的認識,也可用于在將來拯救生命。
沙特林醫院的婦產科醫生恩斯特·拜茵德(音譯:Ernst Beinder)表示,該孕婦的整個分娩過程都很正常,機器拍下了孕婦子宮內的所有運動和整個分娩過程。“我們現在可以看到以前只能通過探針觀察到的全部細節,這些迷人的圖片再次證明了每個分娩都是一個小奇跡,”他說。
沙特林醫院研究團隊兩年前開始這項研究,本周終于取得成功。他們稱多名孕婦曾自愿參加這項實驗,另外還有5個孕婦的分娩過程將會被核磁共振掃描儀拍攝下來。醫院研究團隊為此還改進了通用的管狀核磁共振成像掃描儀,專門研制了一種特別的“開放式”掃描儀,以便為助產士和孕婦提供足夠的空間。
嬰兒出生過程的核磁共振成像圖片對于了解分娩并發癥至關重要,并能對大約15%需要接受剖腹產手術的孕婦的治療方案提供重要幫助。利用強大的磁體,核磁共振掃描儀能夠產生一個強大磁場,使無線電波探測到人體內的某些原子。研究人員則可用這些數據制作出患者身體的橫截面圖,提供軟組織和骨結構的細節。
核磁共振掃描儀被認為比X射線更安全,但因為它工作時總是發出嘈雜的嗡嗡聲,很多患者不喜歡這種設備。為了保護本周參加實驗的這位孕婦的健康,工作人員特意讓她戴上了耳套,當孕婦體內的羊膜囊破開后,因擔心嬰兒的聽力受損,掃描儀就被關閉了。
(來源:中國日報網 蔡東海 編輯:劉純萍)