
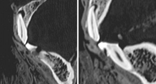
相比過去的研究器材,CT掃描儀使研究團隊能夠更清晰詳盡地觀察填充物。

CT片顯示了木乃伊左邊第一顆門牙(左圖)和右邊第二顆門牙(右圖)的磨損狀況。
...
...
...
中國日報網版權說明:凡注明來源為“中國日報網:XXX(署名)”,除與中國日報網簽署內容授權協議的網站外,其他任何網站或單位未經允許禁止轉載、使用,違者必究。如需使用,請與010-84883300聯系;凡本網注明“來源:XXX(非中國日報網)”的作品,均轉載自其它媒體,目的在于傳播更多信息,其他媒體如需轉載,請與稿件來源方聯系,如產生任何問題與本網無關。
...
...