
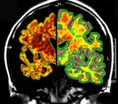
患有老年癡呆癥的大腦掃描圖
“銀河系中所存在的宇宙輻射會對宇航員的身體造成巨大傷害。”該項研究的主要作者、神經生物學和解剖學系教授克里·奧班寧介紹說,“眾所周知,輻射將會大大提高癌癥等疾病的發病率,不過我們的研究表明,當宇航員接觸到一定劑量的宇宙射線的輻射時,其大腦可能會受到傷害,進而導致老年癡呆癥。所以美國國家航空航天局(NASA)應該將此考慮到未來的太空任務中,控制宇航員在外太空的工作時間,以避免出現上述情況。”
這一研究成果可能會對NASA原定于2035年的火星載人飛行任務造成影響,因為依目前的技術條件來看,往返火星需要大約3年的時間,這期間宇航員可能要經受大量宇宙射線的輻射。NASA也曾為此專門成立專家團隊進行研究,將長期太空旅行中可能會對宇航員的身體造成的危害都列舉出來,并制定對應的預防措施,最大限度地保證宇航員的安全。除了對宇宙射線可能會導致老年癡呆癥進行研究之外,該研究團隊還對癌癥、心血管疾病和肌肉骨骼相關病癥進行了研究。
(來源:中國日報網 信蓮 編輯:王菁)